歯科ドック
生涯にわたりお口の中の
健康を維持して頂くために
当院では患者様がなぜ虫歯や歯周病になってしまったのか、どうすれば再発を防げるかを徹底的に調べるために人間ドックの歯科バージョン=歯科ドックを行なっております。むやみに治療を行う前に、必要な検査を行い十分な情報、資料を収集し分析した上で、患者さんと情報を共有し、「最善の治療」を開始していきたいと考えております。病気の原因を根本から見直して解決し、患者さん一人一人に合わせた最善の治療・予防を行うために全て自由診療のシステムで診察しております。

ただ検査結果を郵送するだけの人間ドックとは違い、
歯科医師である院長、土黒が自ら検査結果の40ページ以上の冊子を1時間ほど説明して理解していただきます。
歯科ドックについて
お口の状態、かみ合わせに関する診査・検査を行います。現在特別な症状が無い場合でも、ご自身が気づいていない部位に将来的な病気リスクが潜んでいる可能性が有ります。
本格的な診療、処置を行う前にそのリスクを調べることが重要です。

自然に虫歯になったり、高齢だから歯周病になるわけではありません。一般的に「炎症」や「バランスの取れていない咬み合わせの力」で口腔内環境が崩壊していきます
検査項目

1.エックス線写真撮影
(デンタル18枚、CT)


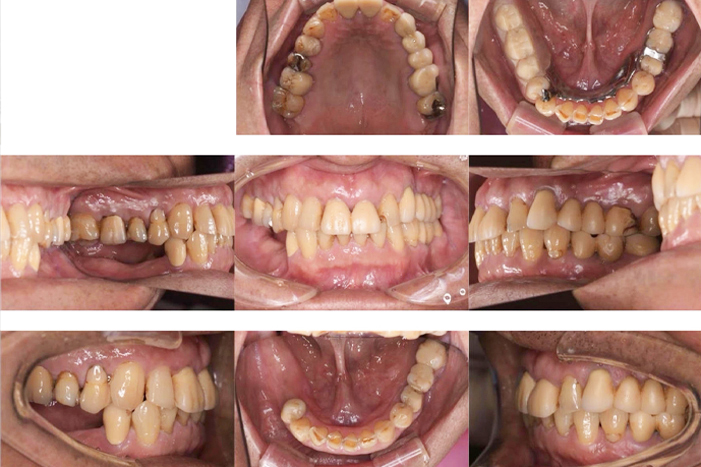
2.写真撮影
(口腔内14枚法、顔貌)


3.歯周組織検査
(ポケット測定・染め出し検査
・動揺度検査)

5.唾液検査
(唾液量測定、
2種の虫歯菌培養検査)


6.診断用模型印象採得

7.咬合採得(CR・ICP)
フェイスボウトランスファー
※筋触診

歯科ドック料金
※料金は全て税込表記となっております
検査
| 成人 | 66,000円 |
|---|---|
| 小児 | 27,500円 |
その他
| 結果説明(1時間) | 5,500円 |
|---|---|
| コンサルテーション(1時間) | 5,500円 |








